
Disminuya las complicaciones de las inserciones de CVC
La guía por ultrasonido en tiempo real puede mejorar la precisión y la seguridad de las inserciones de CVC.

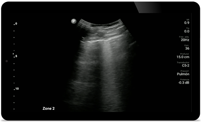
Esté atento a la neumonía por COVID
Lumify puede ayudar a obtener resultados similares a los de una tomografía computarizada de tórax al evaluar la neumonía y el síndrome de dificultad respiratoria en adultos.

Actúe más rápido para proteger el corazón de sus pacientes
Cuando los segundos cuentan, el ultrasonido portátil puede marcar la diferencia. Lumify puede proporcionar las imágenes de alta definición que requiere cuando y donde las necesite.
















• Rango extendido de frecuencias de operación entre 12 y 4 MHz • Tamaño de apertura: 34 mm • 2D, Doppler orientable a color, Modalidad M, XRES avanzado e imágenes armónicas multivariables, SonoCT • Imágenes de alta resolución para aplicaciones superficiales: tejidos blandos, vasculares, superficiales, musculoesqueléticos y pulmonares • Marcador de línea central • Transductor USB-C con cable reemplazable



Caso de estudio
Oportunidad de revertir potencialmente la miocardiopatía

Tutorial
Introducción a la ecocardiografía transtorácica

Guía rápida
Ultrasonido renal focalizado
You are about to visit a Philips global content page
Continue