Reduzca las complicaciones en procedimientos guiados por aguja
El ultrasonido portátil Lumify para anestesiología le ayuda a visualizar claramente la definición de los bordes con la colocación de la aguja, los nervios circundantes, los vasos sanguíneos y los planos fasciales.

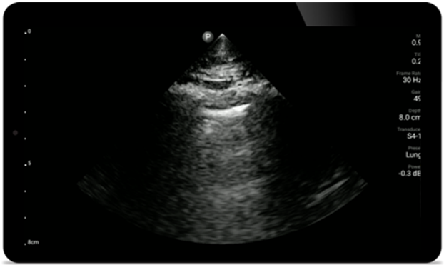
Utilice Lumify para la evaluación de las vías respiratorias y pulmonares
Las soluciones Lumify POCUS pueden ayudarle a detectar el tubo endotraqueal dentro de la tráquea, ayudar en los procedimientos de cricotirotomía emergentes, en el diagnóstico de derrame pleural y enfermedades alveolares intersticiales.

Lleve el ultrasonido a la cabecera del paciente
El uso de Lumify junto a la cama de sus pacientes puede ser una herramienta valiosa para determinar el estado del contenido estomacal y puede reducir el riesgo de aspiración pulmonar. En conjunto, esto puede reducir el riesgo de complicaciones por anestesia.

















• Rango extendido de frecuencias de operación de 4 a 1 MHz • 2D, Doppler a color, Modalidad M, XRES avanzado e imágenes armónicas multivariables • Imagenología de alta resolución para aplicaciones abdominales y cardíacas: optimizaciones de preajustes de imágenes cardíacas, gineco-obstétricas, pulmonares, abdominales y FAST.


Desde revelar los detalles sutiles de una imagen hasta descubrir la definición del tejido enriquecido desde múltiples ángulos, Lumify puede ayudarlo a tomar decisiones en tiempo real con más confianza desde la evaluación hasta la recuperación.

Caso de estudio
Un paciente con disnea

Tutorial
Ultrasonido cardíaco en el punto de atención prehospitalario: embolia pulmonar

Lectura corta
Conceptos básicos del ultrasonido pulmonar
You are about to visit a Philips global content page
Continue