Aumente la productividad de la resonancia magnética y satisfaga la creciente demanda de imágenes de diagnóstico de calidad excepcional con el MR 5300. Este escáner de resonancia magnética 1.5T funciona con el magneto BlueSeal exclusivo de Philips e incorpora tecnologías impulsadas por IA 1 diseñadas para automatizar las tareas clínicas y operativas más complejas. Así que puede centrarse en lo que más importa: sus pacientes.

Flujo de trabajo automatizado enfocado en el paciente
Prepare a los pacientes en menos de un minuto e inicie los exámenes con un solo clic. Reduzca el tiempo entre exámenes hasta en un 30%4.

Exámenes ultrarrápidos
Acelere las exploraciones de resonancia magnética en hasta un 50% 2 con casi la misma calidad de imagen. Complete los exámenes de rutina en solo 5 minutos.

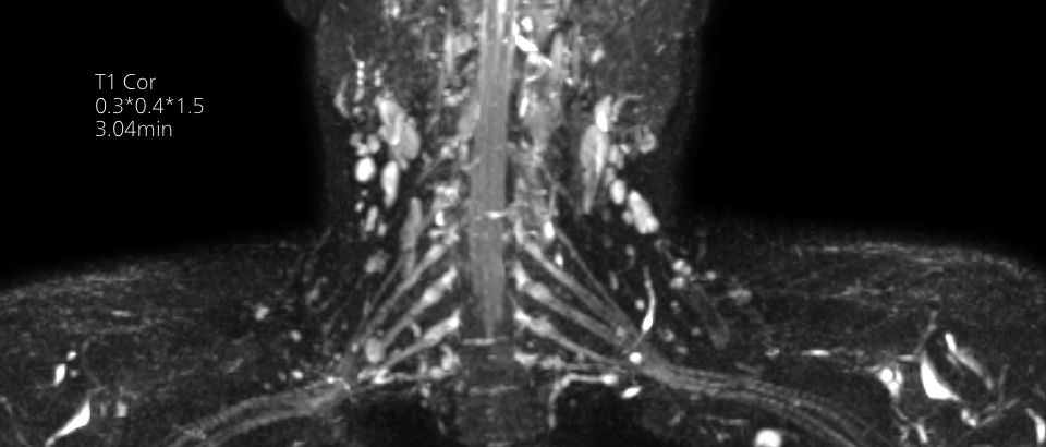
Imagenología de diagnóstico de alta calidad
Nuestras bobinas Breeze ultraligeras aportan versatilidad y crean imágenes uniformes de alta calidad para cualquier anatomía.

Rendimiento de por vida 3
Las operaciones de resonancia magnética sin helio, la capacidad de servicio remoto, el mantenimiento predictivo, las actualizaciones del sistema y el reemplazo de bobinas ayudan a reducir el costo de propiedad.

Como usuario, estoy muy satisfecho con lo ligero de las bobinas Breeze y los conectores. Nuestros pacientes están asombrados con la agradable experiencia exploratoria que ofrece el MR 5300. Si nuestros pacientes están contentos, nosotros también”.
Dayan Jackson Dudleythurai, radiógrafo de resonancia magnética en el Hospital Aleris-Hamlet, Aarhus, Dinamarca
Ponga el tiempo de su lado con Compressed SENSE para reducir el tiempo de exploración hasta en un 50% 2 con una calidad de imagen prácticamente igual. Cree imágenes excepcionales de resonancia magnética con una resolución un 60% más alta para un diagnóstico seguro.

Convencional

Compressed SENSE
Nuestras bobinas Breeze ultraligeras aportan una versatilidad extraordinaria para obtener imágenes de anatomías complejas y las articulaciones más pequeñas. Además de la excepcional calidad de imagen, ofrece un gran campo de visión de 55 cm y un SNR premium.




El magneto BlueSeal de Philips protege la pequeña cantidad de helio líquido necesario para enfriar el interior del orificio. No hay pérdida de helio, no se necesitan recargas y no hay costos inesperados.

Escuche el diálogo entre Michael Kirkegaard, director general de Aleris-Hamlet Hospitals, cliente de MR 5300, y Arjen Radder, director general de RM de Philips, sobre la importancia de la sostenibilidad en la atención médica.

Magneto BlueSeal para operaciones de resonancia magnética sin helio
El magneto BlueSeal de Philips protege la pequeña cantidad de helio líquido necesario para enfriar el interior del orificio. No hay pérdida de helio, no se necesitan recargas y no hay costos inesperados.

Próximos avances en la resonancia magnética
Escuche el diálogo entre Michael Kirkegaard, director general de Aleris-Hamlet Hospitals, cliente de MR 5300, y Arjen Radder, director general de RM de Philips, sobre la importancia de la sostenibilidad en la atención médica.
Referencias
1 Según la definición de IA del Grupo de Expertos de Alto Nivel de la UE.
2 Comparado con las exploraciones de Philips sin Compressed SENSE.
3 10 años es la vida mínima que ofrecemos en un sistema. Las piezas como los consumibles y las bobinas están garantizadas durante esa vida útil, al igual que los servicios que ofrecemos en el contrato.
4 En comparación con CoT entre los exámenes rutinarios de cerebro, columna vertebral, cuerpo entero, corazón, musculoesqueléticos en Ingenia 1.5T / Ingenia Ambition 1.5T con dS Anterior y bobinas dedicadas para exámenes musculoesqueléticos.
You are about to visit a Philips global content page
Continue